Vienna Implant & Family Dentistry
112 Pleasant Street, NW
Suite H
Vienna, VA
703-281-2111
More Heart Disease, Stroke and Diabetes Articles
The Two-Way Relationship Between Gum Disease and Diabetes
Gum disease and diabetes are closely connected, and each condition can significantly influence the other. Understanding this relationship is essential for protecting both oral health and overall health – especially for individuals living with diabetes.
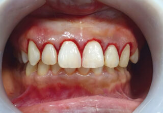
Gum disease, also known as periodontal disease, is a chronic inflammatory condition caused by bacterial plaque buildup along and below the gumline. In its early stage (gingivitis), gums may appear red, swollen, and bleed easily. If left untreated, it can progress to periodontitis, where inflammation damages the tissues and bone supporting the teeth, potentially leading to tooth loss.
Diabetes increases the risk and severity of gum disease. Elevated blood glucose levels can impair circulation and weaken the immune system, making it harder for the body to fight oral bacteria and heal infected tissues. People with poorly controlled diabetes are more likely to develop advanced periodontal disease and experience faster progression once it begins.
At the same time, gum disease can make diabetes harder to control. Chronic inflammation from periodontal infection releases inflammatory mediators into the bloodstream, which can increase insulin resistance. This means the body becomes less efficient at using insulin, leading to higher blood sugar levels. Studies have shown that untreated gum disease is associated with worse glycemic control and a higher risk of diabetes-related complications.
This creates a harmful cycle: diabetes worsens gum disease, and gum disease worsens diabetes.
The good news is that managing oral health can positively impact diabetes management. Research indicates that treating periodontal disease – through professional cleanings, improved oral hygiene, and ongoing maintenance – can lead to modest but meaningful improvements in blood sugar control. While gum treatment is not a substitute for diabetes care, it is an important supportive component.
Warning signs of gum disease include bleeding gums, persistent bad breath, gum recession, loose teeth, or changes in how teeth fit together. However, gum disease can progress with minimal discomfort, making regular dental exams especially important for individuals with diabetes.
Preventive steps include brushing twice daily with fluoride toothpaste, cleaning between teeth daily, attending regular dental visits, and maintaining good blood sugar control. Communication between dental providers and medical providers can further improve outcomes, ensuring care is coordinated and risks are addressed early.
By recognizing the strong connection between gum health and diabetes, individuals can take proactive steps to protect their oral health – and support better long-term metabolic health as well.
Other Articles You May Find of Interest...
- Apolipoprotein A and Apolipoprotein B: What They Mean for Your Heart Health
- Navigating Heart Blocks: Insights into Mobitz Type I and II
- What Does a Dull Pain in Your Left Arm Mean for Women?
- Unraveling the Mystery of a Widow Maker Heart Attack: What You Need to Know
- Improving Your Longevity: Insights on Life Expectancy After ICD Implant
- Navigating the Impacts of Left Posterior Fascicular Block on Heart Health
- The Rising Concern of Young Myocardial Infarction: Are You at Risk?









